L’implantologie moderne et la préparation à un acte chirurgical sans stress
Objectifs Pédagogiques
- Comprendre l’évolution des concepts en implantologie: de l’ostéointégration à la mucointégration
- Réussir sa consultation pré-implantaire
- Evaluer le patient dans sa globalité
- Repérer les obstacles anatomiques et maîtriser l’anatomie des maxillaires
- Appréhender les outils de planification implantaire
- Communiquer avec son patient
Points forts
- Maîtriser une implantologie scientifique, moderne et esthétique
- Eviter les pièges en se posant les bonnes questions
- Construire un plan de traitement implantaire global
- Travaux pratiques de pose d’implant sur modèles pédagogiques édentés partiellement
- Imagerie en implantologie : planification et travaux pratiques
- Analyse interactive de cas cliniques
Avant
Temporisation 4 heures après
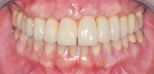
Prothèse d’usage zircone











